
Il tartaro è una minaccia insidiosa per la salute orale, spesso difficile da rilevare, ma con conseguenze potenzialmente gravi se non trattato in tempo. Quando la placca batterica si accumula e subisce un processo di mineralizzazione, si trasforma in tartaro, un deposito duro che può compromettere seriamente la salute dei denti e delle gengive. In questo articolo, esploreremo l’impatto del tartaro sulla salute dentale e l’importanza di un intervento tempestivo, fornendo informazioni pratiche per:
Continua a leggere per scoprire come proteggere la tua salute orale e prevenire problemi futuri.
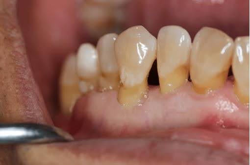
Il tartaro dentale, noto anche come calcare dentale, è una sostanza dura che si forma sui denti quando la placca batterica non viene rimossa correttamente attraverso una buona igiene orale quotidiana. La placca batterica, una pellicola appiccicosa composta da batteri, si accumula continuamente sui denti. Se non viene eliminata regolarmente, si indurisce, trasformandosi per l’appunto in tartaro. Questo accumulo può verificarsi sia sopra – tartaro sopragengivale – che sotto il margine gengivale – tartaro sottogengivale – costituendo una minaccia non solo per l’estetica del sorriso, ma anche per la salute complessiva della bocca. Il tartaro sottogengivale è particolarmente pericoloso, in quanto può portare a malattie dentali e gengivali, come la parodontite.
Il colore del tartaro è solitamente giallo, ma può variare dal bianco al marrone fino al grigio scuro-nero, a seconda delle sostanze con cui entra in contatto come ad esempio il fumo di sigaretta.
Se ti stai chiedendo come capire se si tratta di tartaro, sappi che ci sono alcuni segni distintivi che ti aiutano a identificarlo.
Uno dei primi indicatori è la formazione di un deposito solido sui denti, specialmente vicino alla linea gengivale. Inoltre, la superficie dei denti può diventare ruvida al tatto, e in alcuni casi il tartaro può anche causare un cambiamento nel colore dei denti, rendendoli più gialli o marroni. Un altro possibile segnale è la comparsa di alitosi persistente, che può essere un effetto diretto dell’accumulo di tartaro. Inoltre, la presenza di tartaro può irritare le gengive, causando sanguinamento durante la spazzolatura o l’uso del filo interdentale.
Il tartaro si forma quando i residui alimentari che rimangono nella bocca vengono attaccati dai batteri. In particolare, questi batteri depositano una sottile pellicola incolore sui denti, composta da batteri e frammenti di cibo. Se questa pellicola, chiamata placca, non viene completamente rimossa con una corretta igiene orale, entro 12-18 ore si calcifica, dando origine ai primi depositi di tartaro.
La placca batterica si associa ai sali calcarei e ai fosfati presenti nella saliva, creando una concrezione dura e particolarmente adesiva. Due fattori principali che contribuiscono alla formazione del tartaro sono la composizione chimica e il pH della saliva.
I depositi di tartaro tendono a concentrarsi in alcune aree specifiche della bocca. Ad esempio, sono più evidenti dietro gli incisivi inferiori e sui molari dell’arcata superiore, dove la presenza di dotti salivari provoca un accumulo maggiore di saliva.

Un aspetto importante da tenere a mente è che la placca si deposita su tutte le superfici dure della bocca, inclusi denti artificiali, protesi, bite e apparecchi fissi o mobili. Questi dispositivi possono anch’essi accumulare tartaro.
La causa principale della formazione del tartaro è, dunque, la mancata rimozione della placca. Una scorretta igiene orale rende questo processo ancora più rapido. Per prevenire il tartaro e mantenere una buona salute orale, è importante seguire alcune pratiche quotidiane. Ecco 3 semplici consigli:
Il tartaro sui denti può dare origine a diverse problematiche che interessano la salute orale. La sua superficie irregolare, infatti, funge da deposito per residui alimentari e favorisce la proliferazione di batteri, che accelerano il processo di calcificazione. Ecco le principali conseguenze:

A proposito di tartaro sui denti, molti si chiedono come toglierlo in casa. Alcuni credono che il tartaro si stacchi da solo. È fondamentale sfatare questi falsi miti.
Il tartaro non solo non si stacca da solo, ma per eliminarlo è indispensabile rivolgersi a un dentista, poiché la sua rimozione richiede l'uso di strumenti professionali. A seconda della quantità di tartaro accumulato, il dentista può utilizzare diversi strumenti. Tra questi, l’ablatore, un dispositivo che emette ultrasuoni e permette di rimuovere efficacemente lo strato più spesso e duro di tartaro. Successivamente, possono essere impiegati strumenti manuali per eliminare i residui rimasti.
Alla fine della pulizia, viene applicata una pasta al fluoro per lucidare i denti, migliorando l’estetica del sorriso e contribuendo a prevenire future problematiche.
Abbiamo visto nei paragrafi precedenti come il tartaro non rimosso può causare infiammazioni gengivali, alitosi e, nei casi più gravi, parodontite o piorrea con rischio di perdita dei denti. Per evitare questi problemi, è fondamentale sapere come eliminare il tartaro e quali sono le migliori pratiche per mantenere una buona igiene orale. Una delle soluzioni più efficaci è sottoporsi periodicamente a una pulizia dei denti, un trattamento professionale che aiuta a prevenire complicazioni più serie.
Il tartaro non trattato può comportare conseguenze significative sia sulla salute orale che su quella generale. Dalla gengivite fino alla perdita dei denti, i rischi sono concreti e richiedono attenzione. Investire nella propria igiene orale attraverso buone abitudini quotidiane e visite regolari dal dentista è fondamentale per prevenire la formazione del tartaro e mantenere un sorriso sano e splendente. Non sottovalutare l’importanza della salute dentale: prenota una visita. Il tuo sorriso merita la migliore cura possibile!